
“整整一年多没有见过俺母亲笑过了!现在好了,问题解决了!”说到老人手术的成功,李先生格外激动。
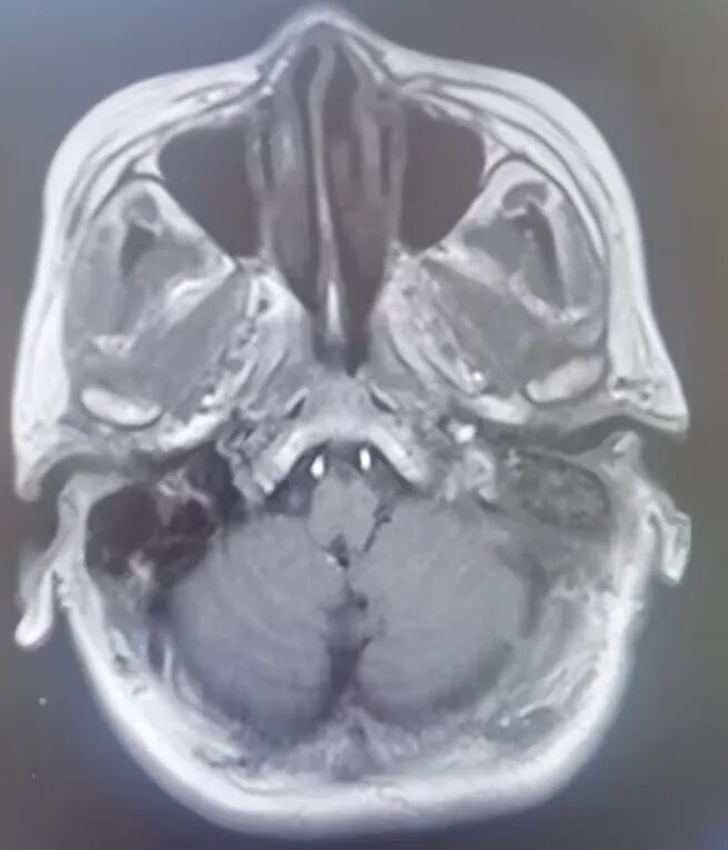
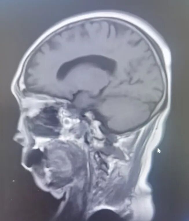
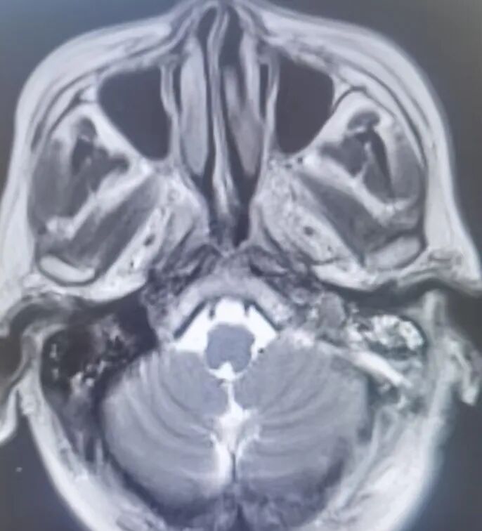
原来,李先生的母亲今年72岁,家住龙口市,一年前在当地医院查体,发现左侧桥小脑角区占位病变,诊断为“听神经瘤”,肿瘤小于2cm,医生建议观察1年后复查。1月前,老人出现了左耳听力下降的临床症状,复查颅脑核磁发现肿瘤有明显生长!
怎么办?愁云顿时笼罩了这个家庭。
听闻青岛市即墨区人民医院携手北京天坛医院,天坛专家定期来即坐诊手术,近日,家属迫不及待地来到我院为老人求诊,找到了正在即墨坐诊的天坛医院神经外科主任医师耿素民教授。经过详细查体,耿教授和神经外科手术团队为老人制定了周密的手术方案。
因肿瘤起源于神经的鞘膜,压迫面听神经,术中保留面听神经功能显得尤为重要。手术由耿素民教授亲自主刀,在我院神经外科团队的配合下,术中应用显微镜和神经内镜双镜联合辅助,不磨除内听道骨质便成功将肿瘤全部切除,并完好保留了面听神经功能。
术后第二天,耿素民教授查房,患者恢复良好,听力得到保留,亦无面瘫等常见后遗症发生。看到老人露出了久违的笑容,家人欣喜不已:“俺母亲向来胆小,得知自己脑袋里长了东西,额外增加心理负担,患上了严重的焦虑症,得每天吃药。感谢医院请来这么好的国家级专家,在即墨就给老人做了手术,还这么成功,真是俺们的福气!”
应用双镜联合显微手术切除听神经瘤的优势为: 1.在不磨除内听道情况下,应用神经内镜可观察内听道内全部肿瘤,避免了手术盲区; 
3.切除肿瘤后可观察内听道全程情况,避免肿瘤残留,更好地辨认神经走行;
4.避免在磨除内听道后唇时因颈静脉球高位出血风险,以及术后脑脊液漏的风险。
神经外科医生提醒,听神经瘤虽是良性肿瘤,但由于其会逐渐长大,手术难度也就随之升高,并伴有更多可能的后遗症发生。如果持续出现不明原因的耳鸣或听力下降,要警惕是听神经瘤的可能,及时到医院检查就诊,并得到科学规范的治疗。


